Wisdom Teeth
Wisdom Teeth Removal in Kirkland, WA
Evaluation, monitoring, and when needed — gentle removal with clear recovery instructions and options to keep you comfortable throughout.
Comfort-First Care
Sedation Options
Same-Day Relief
Evaluation Comes First
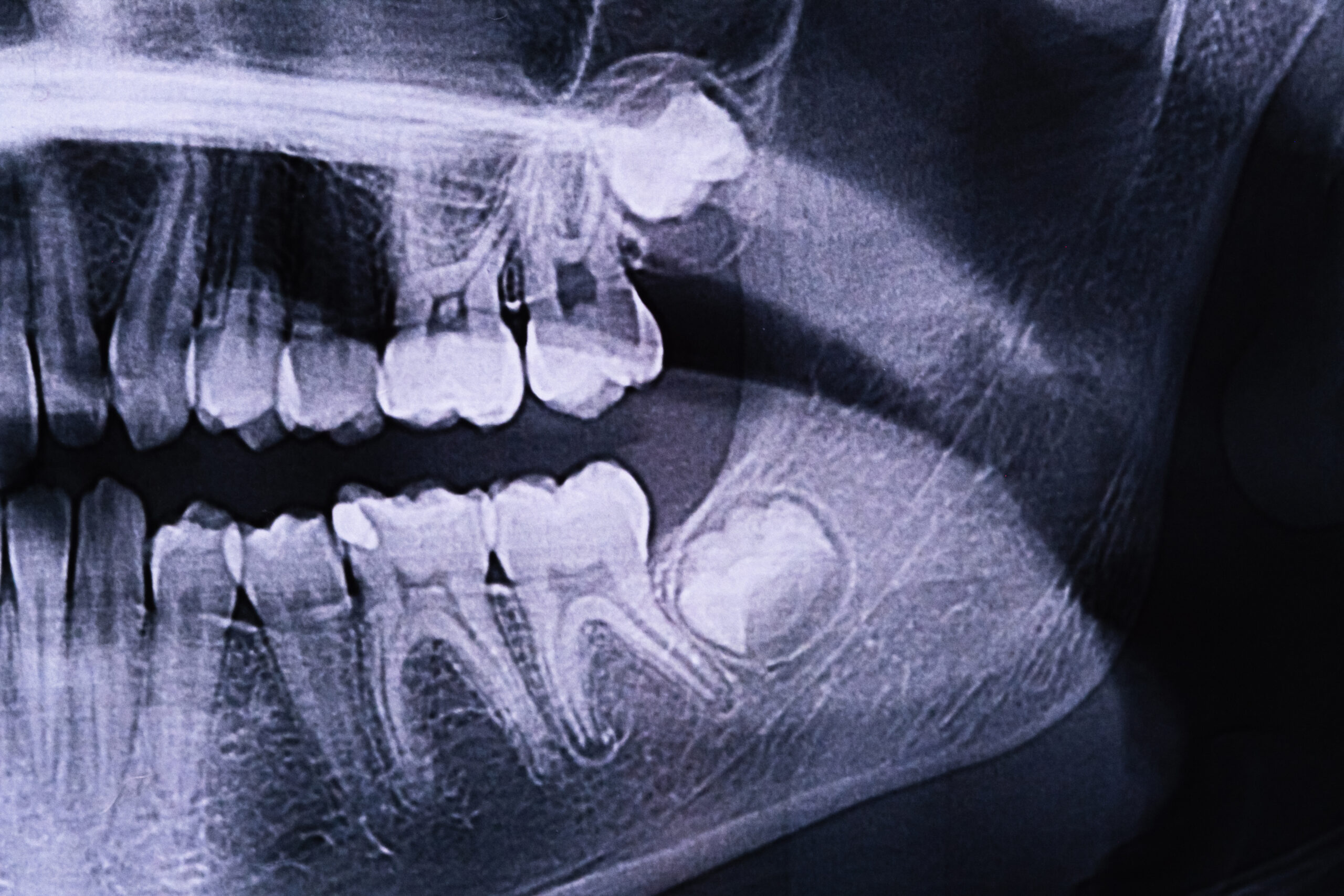
Panoramic X-ray & Exam
We start with a panoramic X-ray and exam to check position, root development, nerve proximity, and any active infection. We’ll explain your options and ideal timing — many wisdom teeth can be monitored safely; others are best removed proactively to avoid problems later.
Clear X-ray Review
We’ll show you where wisdom teeth sit and discuss the safest plan together.
If Removal Is Recommended
What to Expect
1
Numbing & Sedation Options
Local anesthesia plus optional sedation to help you relax.
Local anesthesia plus optional sedation to help you relax.
2
Gentle Removal
Teeth are loosened and removed with careful technique to minimize trauma.
Teeth are loosened and removed with careful technique to minimize trauma.
3
Stitches & Instructions
We place sutures if needed and go over detailed home-care steps.
We place sutures if needed and go over detailed home-care steps.
4
Follow-up
We check healing and answer any questions; most patients recover within a few days.
We check healing and answer any questions; most patients recover within a few days.
Aftercare
Recovery Tips
Rest & Ice
Plan 1–3 low-key days. Use cold packs in 15-minute intervals for swelling.
Soft Foods
Yogurt, smoothies, eggs, and soups. Avoid straws and smoking while healing.
Rinse Gently
Warm salt-water rinses after 24 hours to keep the area clean.
FAQ
Wisdom Teeth FAQs
Do all wisdom teeth need to be removed?
No. We evaluate each case individually—healthy, fully erupted teeth that are easy to clean may be monitored.
What type of sedation do you offer?
We tailor options — from local anesthesia to oral sedation or nitrous — based on your needs and comfort.
How long is recovery?
Most people return to normal routines in 2–3 days; full healing takes longer. We’ll provide detailed home-care instructions.
Will removal affect my other teeth?
In some cases, removing impacted wisdom teeth helps prevent crowding or damage to adjacent molars.